Sapere

173Contributi

Ordine:
Cellule e molecole

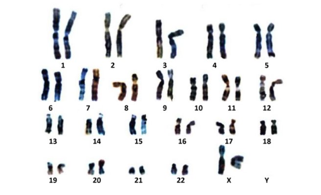
Cromosoma 23 : I cromosomi sessuali

Che cosa fa di un uomo un uomo, e di una donna una donna?

Cellule e molecole

Cromosoma 20: I geni e la BSE

Tra il 1985 e il 1990, una grande quantità di bovini han contratto la malattia della "mucca pazza", o BSE. Qual è la causa di questa malattia?

Cellule e molecole

Cromosoma 16: Le globuline

Alcuni geni si ritrovano diverse volte su un filamento di DNA. In questi casi si parla di "famiglia multi genica", cioè una collezione di geni identici o molto simili.

Cellule e molecole

Cromosoma 15: Doppio è meglio

Noi possediamo due copie della maggior parte dei nostri geni, una su ogni cromosoma. Una delle due è stata ereditata dal padre, e l'altra dalla madre.

Cellule e molecole

Cromosoma 11: L'enzima dell'altitudine

Partendo per una spedizione sull'Himalaya senza la preparazione sufficiente si rischia di incorrere nel mal d'altitudine, tanto temuto e pericoloso.

Cellule e molecole

Cromosoma 10: Stress

Talvolta è opportuno scappare davanti a elementi che generano uno stress. Questa reazione ha permesso la sopravvivenza dell'essere umano.

Cellule e molecole

Cromosoma 9: Il gruppo sanguigno

Il gruppo sanguigno è ereditato tramite un gene situato sul cromosoma 9, chiamato gene AB0.

Cellule e molecole

Cromosoma 8: Telomeri, l'estremità dei cromosomi

Alle due estremità di ogni cromosoma si trovano i cosiddetti telomeri.

Cellule e molecole

Cromosoma 4: Degradazione dell'alcol

L'alcol è un veleno per le cellule. Per questo il nostro fegato s'impegna a degradarlo il più velocemente possibile dopo aver consumato una bevanda alcolica.

Di più